Koroner Damarlarda Kalsiyum Artışı Ölüm Riskini Artırıyor
Koroner damarlardaki kalsiyum miktarının (Coronary artery calcification=CAC) herhangi bir şikâyeti olmayan kişilerde 15 senelik mortalitenin iyi bir göstergesi olabileceği bildirildi (1).
Kalbi besleyen koroner damarlarda ateroskleroz adı verilen durumda plaklar (aterom plağı) oluşuyor.
Bu plaklar damarda darlık yaratabildiği gibi yırtılabiliyor ve pıhtı oluşumuna yol açabiliyor.
Vücut bu plakların yırtılmaması, daha sağlam olması için buralarda kalsiyumun oturmasını sağlıyor ve böylece de kalsifiye plaklar ortaya çıkıyor.
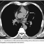
1990’ lı senelerde bu kalsifiye plakların bilgisayarlı tomografi ile gösterilebileceği ve buradaki kalsiyum miktarının (coronary artery calcium score) gelecekteki kalp krizi riskini belirlemede ölçü olabileceği bildirildi.
Annals of Internal Medicine’ de yayınlanan araştırmaya göre koroner damarlarında kalsifikasyon olmayanların tüm sebeplere bağlı ölüm oranı sadece yüzde 3 iken, CAC skoru 1000 veya üzerinde olanlarda yüzde 28 olarak hesaplandı.
Daha önce yapılan araştırmalarda da CAC skorları yüksek olanlarda kalp krizi ve ölüm oranlarının yüksek olduğu belirlenmişti ama bu çalışmaların çoğu 5 seneden kısa takipliydi.
Emory Üniversitesi uzmanları tarafından gerçekleştirilen araştırma, 1996-1999 tarihleri arasında CAC skorları ve risk faktörleri belirlenen 9715 kişiden oluşan bir kohortta yapıldı.
15 senelik takip sırasında 963 kişinin öldüğü tespit edildi.
Damar sertliğinin en erken göstergesi
Amerikan Kardiyoloji Koleji eski başkanı Dr. William Zoghbi şunları söylüyor (2):
“Bilgisayarlı tomografiyle kalsiyum skorları ölçümü bugün, kolesterolleri yüksek olan veya ailelerinde kalp hastalığı hikâyesi bulunan ama kalp hastalığı semptomları tarif etmeyen hastaların tedavisinin belirlenmesinde kullanılıyor.
Bu çalışma bu davranışın kullanışlılığını tasdik etmiş oluyor.
Semptomları olmayanlarda damar sertliği gelişimini en erken gösteren belirteç kalsiyum skorlarıdır.”
Araştırmanın başı olan Dr. Leslee Shaw’ ın görüşleri de şöyle:
“Testte kalsiyumun olmaması veya az olması o hastalara moral verirken, yüksek olanların ise kendilerine daha iyi bakmaları için bir uyarı yapar.
Bu çok iyi bir motivasyon unsuru olabilir.
Kalsiyum skorları yüksek olanlar doğru beslenerek, egzersiz yaparak ve kolesterol yüksekliği, hipertansiyon ve tip 2 diyabet gibi risk faktörlerine karşı ilaç içerek beklentileri düzeltebilirler.
Kalsiyum skorları kolesterol ölümleri gibi bir kişinin rutin fiziki muayenesinin bir parçası olabilir.
Fiyatı genelde 100 doların altındadır.”
Statinler kireçlenmeyi artırıyor
Diabetes Care isimli dergide yayınlanan araştırma tip 2 diyabeti ve ilerlemiş damar sertliği (ateroskleroz) olan hastalarda koroner damarlardaki kalsifikasyonun sık kolesterol hapı (statin) kullananlarda seyrek kullananlara göre daha fazla olduğunu gösteriyor (3).
Buna göre de statinlerin kalp krizi riskini artırdığı gibi bir durum ortaya çıkıyor.
Gelelim neticeye
BİR: Kalp hastalığı riskini belirlemek çok manalı bulmuyorum; çünkü riski düşük olanın da yüksek olanın da yapması gerekenler aynıdır:
Adam gibi beslenmek, hareket, sağlıklı uyku, sigara ve alkol kullanmamak!
Kalsiyum skorları düşük olanlar “Madem riskim düşükmüş o zaman kendime dikkat etmeme gerek yok” diye düşünebileceği gibi, yüksek olanlar da büsbütün strese girerek kalp hastalığı risklerini daha da artırabilirler.
İKİ: Kalsiyum skorlama işlemi bilgisayarlı tomografi ile yapılıyor yani X-ışınları kullanılıyor.
Böyle bir yöntemin rutin fizik muayenenin bir parçası olabileceğini iddia etmek ve sık sık tekrarlanmasını tavsiye etmek bilgisizlikse de ayıptır değilse de.
ÜÇ: Kalp krizi riskini azaltmak için verilen statinlerin bunun tam aksine diyabet ve koroner damar kalsifikasyonlarını artırması için statin meftunları acaba ne diyecekler?
Kaynaklar
1. http://annals.org/article.aspx?articleid=2381645
2. http://www.webmd.com/heart/news/20150706/calcium-scan-can-predict-premature-death-risk-study-says



